作者:荆明 来源:宣教科 发布时间:2020-09-26 17:52:12 浏览:
8月17日,漯河市三院为一名88岁患者在无菌超声引导下成功置入pIcc导管。
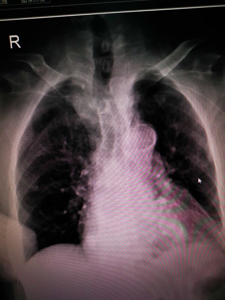
该患者88岁,外周静脉条件差,右手臂外展受限,市三院内二科在谷旭红主任和李艳梅护士长的帮助下,由专科护士宋永向以左手臂贵要静脉为穿刺点、在无菌超声引导下,成功为患者置入pIcc导管,置管后沿静脉走行到上腔静脉并通过拍片确定导管尖端位于T7。填补了市三院内二科pIcc置管技术的空白,标志着市三院内二科护理技术水平迈上了新的台阶。



PICC具有操作简单,穿刺部位多,耐高渗、保留时间长及组织相容性好等特点。
静脉输液是治疗疾病、抢救患者生命的重要给药途径,保护好患者的生命通道需要医患共同努力!市三院内二科全体医护人员将用便捷、高效、专业、高品质的护理技术为患者服务。